
1 / 6
Neend Mein Dant Pisna: किसी के पास सोते वक्त अक्सर दांत पीसने की आवाज आती है. ऐसा होना ज्यादातर लोगों को नॉर्मल लगता है, जिस नजरअंदाज कर दिया जाता है. कई लोगों को खुद पता भी नहीं चलता कि वे नींद में दांत पीसते हैं, लेकिन सुबह उठने पर जबड़े में दर्द, सिर भारी लगना या दांतों में संवेदनशीलता महसूस होती है. यह आदत सिर्फ दांतों को नुकसान नहीं पहुंचाती, बल्कि शरीर के अंदर चल रही कुछ समस्याओं का संकेत भी हो सकती है. अगर आपको भी यह बीमारी है तो यह लेख आपके लिए मददगार साबित हो सकता है.
कैल्शियम की कमी होना

2 / 6
ये कैल्शियम की कमी का भी संकेत हो सकता है. इसलिए शरीर की नियमित जांच करवाएं और सोने से पहले मोबाइल का ज्यादा इस्तेमाल ना करें.
तनाव और चिंता

3 / 6
दांत पीसने की सबसे बड़ी वजह स्ट्रेस है. जब इंसान पूरे दिन की टेंशन को दबाकर रखते हैं तो शरीर रात में इसे इस तरह बाहर निकालता है जैसे- बेचैनी, नींद पूरी ना होना, चिड़चिड़ापन या दांत पीसना आदि.
नींद की खराब होना

4 / 6
अगर आपकी नींद बार-बार टूटती है या आप गहरी नींद में नहीं जा पाते तो Bruxism की समस्या बढ़ सकती है. ऐसा थकान, दिनभर नींद ना आने की वजह से भी हो सकता है.
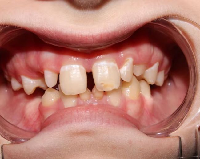
दांतों की गलत बनावट होना

5 / 6
दांतों का सही तरीके से ना मिलना भी दांत पीसने की वजह बन सकता है. इससे जबड़े पर दबाव पड़ता है और आप नींद में दांत रगड़ते हैं.
पोषण की कमी

6 / 6
कई बार शरीर में हो रही पोषण की कमी की वजह से भी ऐसा होता है. अगर आपके शरीर में मैग्नीशियम या कैल्शियम की कमी है तो मांसपेशियों में खिंचाव होता है, जो दांत पीसने का कारण बन सकता है.